Before and After

Each patient which follows was treated by Dr. Sappington. We hope that you notice the perfection in the finished cases! :)

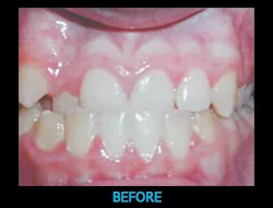
Deep bite with midline shift

Severe crowding, midline shift and crossbite

Irregular front tooth positions and posterior open bite

Crossbite of the front teeth

Severe anterior open bite with midline shift

Severe overbite and overjet with no lower teeth visible

Anterior spacing, flared cuspids and midline shift

Diastema (spacing) between central incisors

Severe front to back bite discrepancy with deep overbite

Severe crowding with upper cuspids inside lowers (in crossbite)

Severe lower crowding (no teeth removed)

Severe overjet and overbite with uppers far forward of lowers

Class 2 bite discrepancy with uppers far forward of lowers

Contact Us

Sappington Orthodontics

Office Hours

Primary Location

Monday:

8:00 am-5:00 pm

Tuesday:

Closed

Wednesday:

8:00 am-5:00 pm

Thursday:

8:00 am-5:00 pm

Friday:

Closed

Saturday:

Closed

Sunday:

Closed